[길음동 교정치과] 비수술로 해결하는 반대교합, 거꾸로 물리는 치아 교정 사례

안녕하세요, 길음동 교정치과 서울클리어교정치과 대표원장 박지원입니다. 윗니가 아랫니를 살짝 덮는 것이 정상적인 교합이지만, 반대로 아랫니가 윗니보다 앞으로 나와 '거꾸로' 물리는 경우가 있습니다. 이를 반대교합이라고 하는데요. 외관상 주걱턱처럼 보일 수 있고…

Continue Reading[길음동 교정치과] 비수술로 해결하는 반대교합, 거꾸로 물리는 치아 교정 사례

[성북 교정치과] 앞니 벌어짐과 안면 비대칭, ‘비발치 인비절라인’으로 해결한 사례 분석

안녕하세요, 성북 교정치과 대표원장 박지원입니다. 거울을 볼 때 벌어진 앞니 사이로 공간이 보이거나, 심한 덧니 때문에 활짝 웃지 못해 스트레스를 받는 분들이 많습니다. 특히 치아 배열뿐만 아니라 복합적인 교합 문제와…

Continue Reading[성북 교정치과] 앞니 벌어짐과 안면 비대칭, ‘비발치 인비절라인’으로 해결한 사례 분석

[미아사거리 교정치과]쓰러진 어금니, 교정 없이 임플란트 하면 안 되는 이유

치아를 잃은 자리를 오래 비워두면 어느 순간 주변 어금니가 빈 공간 쪽으로 쓰러지는 현상이 나타납니다. 이 상태에서 임플란트를 위해 치과를 찾으면 **"교정부터 하셔야 합니다"**라는 안내를 받고 당혹스러워하시는 경우가 많습니다. 하지만…

Continue Reading[미아사거리 교정치과]쓰러진 어금니, 교정 없이 임플란트 하면 안 되는 이유

[서울 교정 치과] 교정 중 나타나는 통증의 원인과 해결법 (전문의 가이드)

안녕하세요, 서울클리어교정치과 대표원장 박지원입니다. 삐뚤어진 치열이나 부정교합을 개선하고 싶지만, 정작 치료를 망설이게 만드는 가장 큰 이유는 무엇일까요? 상담을 하다 보면 많은 분이 **"교정 치료, 많이 아픈가요?"**라며 통증에 대한 걱정을 먼저…

Continue Reading[서울 교정 치과] 교정 중 나타나는 통증의 원인과 해결법 (전문의 가이드)
Read more about the article 서울 교정치과: 결손치와 돌출입 동시 해결법
돌출입 교정치료

서울 교정치과: 결손치와 돌출입 동시 해결법

안녕하세요, 서울 교정 치과의원입니다. 거울을 볼 때 입술이 튀어나와 보이거나, 웃을 때 뻐드러진 앞니 때문에 스트레스를 받고 계시나요? 흔히 '돌출입'이라 부르는 이 증상은 심미적인 부분뿐만 아니라 저작 기능에도 영향을 줄…

Continue Reading서울 교정치과: 결손치와 돌출입 동시 해결법

성북구 교정과 전문의가 알려주는 유지장치 관리법

안녕하세요, 성북구에서 환자분들의 마지막 미소까지 책임지는 서울클리어교정치과 성북점 대표원장 박지원입니다. 교정 장치를 제거하는 날, 많은 분이 해방감을 느끼시지만 사실 이때부터 **'진짜 관리'**가 시작됩니다. 치아는 원래의 틀어진 상태로 돌아가려는 강력한 **'회귀…

Continue Reading성북구 교정과 전문의가 알려주는 유지장치 관리법

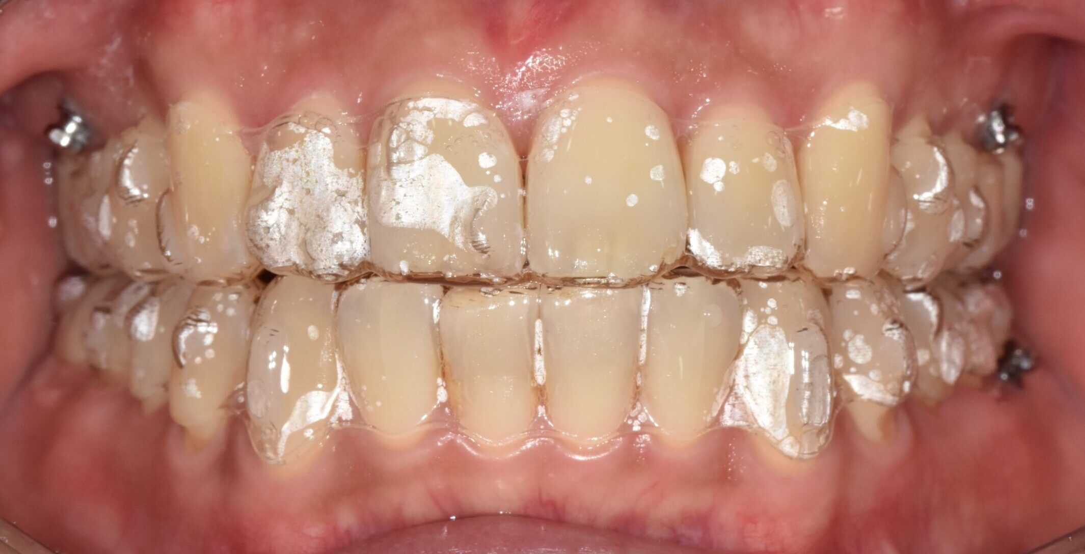
[길음역 교정치과] 치아교정 미니스크류 통증과 주의사항 총정리

안녕하세요, 성북구 길음역 인근에서 정교한 교정 치료를 도와드리는 서울클리어교정치과 성북점 대표원장 박지원입니다. 교정 상담 중 "잇몸에 나사를 심어야 합니다"라는 설명을 들으면 낯선 용어와 방식에 덜컥 겁부터 내시는 분들이 많습니다. 하지만…

Continue Reading[길음역 교정치과] 치아교정 미니스크류 통증과 주의사항 총정리

40·50·60대 중년 교정, 나이 제한보다 ‘방법’이 중요합니다 (feat. 인비절라인 & iTero)

안녕하세요, 성북구 성신여대에서 중년 환자분들의 건강한 미소를 책임지는 서울클리어교정치과 성북점입니다. "이 나이에 교정을 해도 될까요?"라고 묻는 분들이 많으십니다. 결론부터 말씀드리면, 잇몸만 건강하다면 60~70대에도 충분히 가능합니다. 기대 수명이 늘어난 현대 사회에서…

Continue Reading40·50·60대 중년 교정, 나이 제한보다 ‘방법’이 중요합니다 (feat. 인비절라인 & iTero)

치아 교정의 적합한 시기

[성북구 교정치과] 치아교정 적기, 우리 가족에게 딱 맞는 시기는 언제일까요? 안녕하세요, 성북구 미아사거리에서 교정과 전문의가 대표원장인 서울클리어교정치과 성북점입니다. 많은 분이 궁금해하시는 '교정 시작 시기'에 대해, 서울대학교 교정과 전문의 박지원 원장의…

Continue Reading치아 교정의 적합한 시기

교정 상담 첫날 하는일

📍 성북구 서울클리어교정치과 첫 방문, 어떤 과정으로 진행되나요? 성북구에서 치아 교정을 고민하며 본원에 처음 내원하시는 분들을 위해, 정밀 진단부터 맞춤 상담까지의 1:1 프로세스를 투명하게 공개합니다. 💡 방문 전 팁! 보다…

Continue Reading교정 상담 첫날 하는일