안녕하세요, 성북 교정치과 대표원장 박지원입니다.
거울을 볼 때 벌어진 앞니 사이로 공간이 보이거나, 심한 덧니 때문에 활짝 웃지 못해 스트레스를 받는 분들이 많습니다.
특히 치아 배열뿐만 아니라 복합적인 교합 문제와 골격적 비대칭이 동반된 경우라면 외적인 고민은 물론 기능적인 불편함까지 커질 수밖에 없습니다.
오늘은 성북 교정치과에서 앞니 벌어짐과 공간 부족으로 맹출 위치를 잃은 송곳니, 그리고 아래턱 비대칭을 비발치 인비절라인 교정으로 개선한 실제 사례를 소개해 드리겠습니다.
🦷 1. 정밀 진단: 앞니 벌어짐과 송곳니 덧니, 비대칭의 복합적 문제
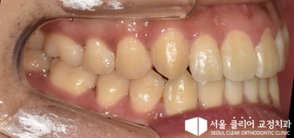
환자분의 초기 구강 사진을 살펴보면 여러 가지 복합적인 문제점들이 관찰되었습니다.
- 정중치아 벌어짐 (Diastema): 위 앞니 사이에 뚜렷한 공간이 벌어져 있어 심미적으로 불만족스러운 상태였습니다.

- 송곳니 덧니: 위쪽 어금니들이 전방으로 이동하면서 전체적으로 치아가 배열될 공간이 부족해졌습니다. 이로 인해 위 송곳니가 제 위치를 찾지 못하고 잇몸 위쪽으로 솟아오른 형태로 배열되었습니다.

- 아래턱 비대칭: 아래턱의 비대칭으로 인하여 아래 치열의 정중선(가운데 선)이 사진 기준 우측으로 크게 치우쳐 있었습니다.

🛠️ 2. 맞춤형 치료 계획: 치아 보존을 위한 ‘비발치’ 전략
진단 결과를 바탕으로 성북 교정치과에서는 자연 치아를 최대한 보존하기 위해 다음과 같은 방향으로 치료 계획을 수립했습니다.
- 비발치 교정 결정: 작은 어금니를 뽑는 발치 교정 대신, 위 어금니 전체를 후방으로 이동시켜 벌어진 앞니를 모으고 송곳니가 내려올 공간을 확보하기로 했습니다.
- 인비절라인 (Invisalign) 선택: 투명한 특수 플라스틱 소재로 제작되어 눈에 잘 띄지 않으며, 환자 스스로 탈착이 가능해 구강 위생 관리가 매우 용이합니다.
- 클린첵 (ClinCheck) 시뮬레이션: 디지털 시뮬레이션을 통해 치아가 움직이는 모습을 미리 확인하며 정밀한 계획을 세울 수 있었습니다.


🚀 3. 치료 과정: 미니스크류와 탄력 고무줄의 역할
본격적인 치료 과정에서는 상악 구치부(위턱 어금니)를 뒤로 밀어내는 과정이 핵심이었습니다.
- 미니스크류 식립: 상악 구치부의 확실한 후방 이동을 위해 위턱 잇몸 양측에 교정용 나사(미니스크류)를 식립했습니다. 이는 국소 마취 하에 안전하게 진행되어 통증이 거의 없습니다.

- 탄력 고무줄 활용: 인비절라인 장치와 미니스크류에 고무줄을 걸어 치아를 목표 방향으로 정교하게 당겼습니다. 이 과정은 상악 공간을 닫고 아래 치열의 악궁 비대칭을 개선하는 데 중요한 역할을 합니다.

✨ 4. 치료 결과 및 예후
계획했던 대로 성공적인 변화를 얻을 수 있었습니다.
- 공간 폐쇄: 위 앞니 사이의 벌어진 공간이 완전히 폐쇄되었습니다.
- 송곳니 배열: 미니스크류를 통한 어금니 후방 이동으로 충분한 공간이 만들어지면서, 위로 솟아있던 송곳니가 자연스러운 위치로 잘 내려왔습니다.
- 비대칭 해소: 전체적으로 비대칭이 해소된 양호한 교합 관계를 형성하게 되었습니다.



💡 원장님이 전하는 교정 후 관리 팁
인비절라인 치료가 성공적으로 마무리되기 위해서는 하루 20시간 이상 장치를 착용하는 환자분의 협조도가 매우 중요합니다.
이번 케이스 역시 환자분이 적극적으로 장치와 고무줄 착용 지시를 따라주셨기에 좋은 결과를 얻을 수 있었습니다.
교정이 끝난 후에도 치아가 원래 자리로 돌아가려는 회귀 현상을 막기 위해 유지 장치를 꼼꼼히 착용해 주셔야 합니다.
앞니 벌어짐이나 비대칭으로 고민하고 계신다면, 지체하지 마시고 전문 의료기관에 내원하시어 정밀한 진단을 받아보시길 바랍니다.
지금까지 성북 교정치과, 서울클리어치과교정과 대표원장 박지원이었습니다.

진료 기간: 2023.03.04 ~ 2025.03.22
