안녕하세요!
서울클리어교정치과 성북점 원장 박지원입니다.
오늘은 교정치료를 생각하시는 분들께서 병원에 처음 가면 어떤 것들을 하나 궁금해하셔서 그에 관한 글을 써볼려고 합니다.
상담 준비를 하고 상담을 진행하면 30분~1시간 정도는 걸리기 때문에 넉넉하게 1시간 정도 생각하시고 예약하고 오시는게 좋습니다.
처음 병원에 내원하시면 접수를 하고
1.교정 설문지를 작성합니다.
설문지 작성을 통해 환자분께서 교정치료를 통해 어떤 점을 개선하고 싶은지 확인하고, 전신병력과 턱관절 병력들도 확인합니다.
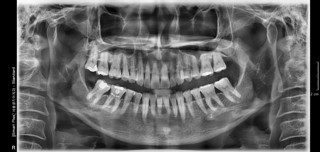
2. 방사선 사진 (파노라마 사진) 1장 & 입안 사진 촬영 및 구강스캔을 힙니다.
파노라마 사진은 입안 전체의 치아 상태를 한번에 확인 할 수 있어서 매우 유용합니다.
그리고 환자분 입안 사진을 찍어서 거울로만 보던 입안 상태를 잘 확인할 수 있게합니다.
구강 스캔을 통해 본을 뜨지 않고도 환자분과 치아 상태에 대해 더 정밀하게 말씀을 나눌 수 있습니다.
3. 원장님께서 직접 얼굴 모습, 입안 상태, 턱관절, 아래턱 운동을 확인합니다.
4. 환자 및 보호자와 치료의 목표 / 방법에 관한 설명을 드립니다.
-처음 내원 하신 자료만으로는 치료 계획 및 비용을 설명드리기에는 한계가 있습니다.
-문제점을 정밀하게 파악하고 정확한 치료계획을 세우기 위해서는 추가적인 자료를 채득하고 그 자료들을 바탕으로 정밀분석을 필요로 합니다.
5. 정밀 진단을 위한 준비를 진행합니다.
-엑스레이 (옆모습, 앞모습) / 얼굴 사진 / 입안 사진 / 치아 모형 제작 / 치아 모형 스캔 등을 진행합니다
6. 다음 번 약속을 잡고 정밀 진단 결과를 듣습니다.
지금까지 교정 환자 분께서 저희 치과에 처음 오셨을 때 어떤 과정으로 진행하시는지 알려드렸습니다.
더 궁금한 사항이 있으시다면
저희 병원에 문의주시면 감사하겠습니다.

